Welcome To Apollo Spectra Dental Care Hospital

Implants

Service Image
Treatment Name

Implants

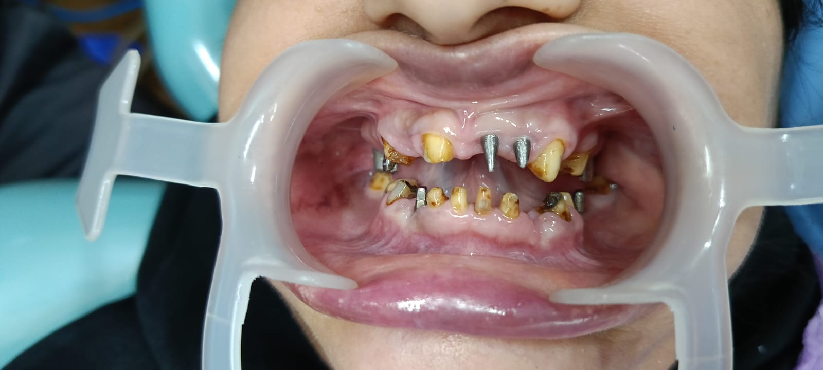
Before
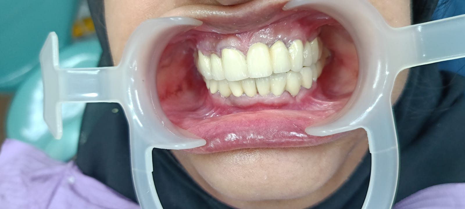
After
Before

Implants

Apollo Spectra Hospital specializes in dental implants, offering a reliable and effective solution for tooth loss. Our advanced implant services are designed to restore function and aesthetics, enhancing patients' quality of life.

Dental implants are titanium posts surgically placed into the jawbone to serve as artificial tooth roots. This procedure provides a strong foundation for replacement teeth, ensuring stability and durability. Our skilled oral surgeons conduct thorough assessments to determine the suitability of implants for each patient, taking into consideration bone density, oral health, and individual needs.

The implant process typically involves several stages, starting with the surgical placement of the implant, followed by a healing period during which the implant fuses with the bone—a process known as osseointegration. After sufficient healing, custom-made crowns are affixed to the implants, restoring both function and natural appearance. This approach allows patients to enjoy improved chewing ability and confidence in their smiles.

Post-implant care is crucial for long-term success, and we provide detailed guidance on maintaining oral hygiene and routine dental visits. Our team is committed to ensuring that patients receive personalized care throughout their implant journey, addressing any concerns and providing support for optimal outcomes. With dental implants, patients can regain their smiles and the ability to enjoy their favorite foods with confidence.