Welcome To Apollo Spectra Dental Care Hospital

Pediatric / Child Dentistry

  • Home
  • Pediatric / Child Dentistry
Service Image
Treatment Name

Pediatric / Child Dentistry


Pediatric / Child Dentistry

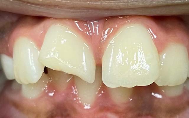
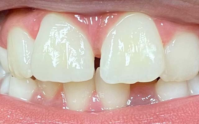
Apollo Spectra Hospital offers specialized pediatric services focused on the dental care of children. Our child dentistry program emphasizes a gentle, friendly approach to ensure positive experiences for young patients.

Pediatric care involves comprehensive dental services tailored specifically for infants, children, and adolescents. Our pediatric dentists are trained to handle the unique dental needs of children, including routine check-ups, preventive care, and treatment for dental issues such as cavities, misalignment, and tooth decay. We create a comfortable environment to help children feel at ease during their visits.

Preventive dentistry is a key focus in our Pediatric services. We provide education on proper oral hygiene practices, dietary habits, and the importance of regular dental visits. Fluoride treatments and dental sealants are also offered to help protect young teeth from cavities and decay, promoting lifelong dental health.

In addition to general dental care, we address specific concerns related to the development of children's teeth and jaws. Our team is equipped to manage issues such as thumb-sucking, teeth grinding, and early orthodontic evaluations. We strive to create a supportive and engaging atmosphere, fostering positive attitudes toward dental health as children grow.